Detail Foto - Pemain Putra Jaya Pasuruan yang Tendang Lawan Dikeluarkan dari Klub, Korban Alami Retak Tulang Dada
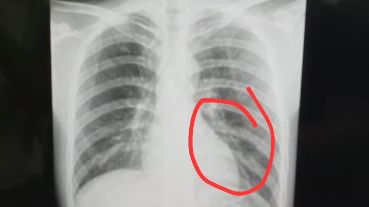
pemain Perseta Tulungagung bernama Firman Nugraha mengalami cedera serius berupa retak tulang dada
Pertandingan Liga 4 pekan ke-32 Zona Jawa Timur yang digelar di Stadion Gelora Bangkalan, Jawa Timur, Senin sore, antara Putra Jaya Pasuruan melawan Perseta Tulungagung berakhir tragis.
- galeri foto