Pengalaman Menegangkan Wulan Guritno Akibat Gigi Berlubang yang Terabaikan dan Memburuk, Akhirnya Temukan Solusi di Devya Dental Clinic
- Dok. Devya Dental Clinic
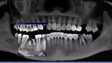
“Giginya nanti akan dicabut, tapi jangan sampai dibiarkan lama-lama. Tulang di sekitar gigi itu bisa turun, dan lama-lama gigi sebelahnya ikut goyang. Gigi atasnya juga bisa merosot turun karena tidak ada lagi penyangga di bawahnya,” jelas drg. Devya.
Drg. Devya menjelaskan bahwa pemasangan dental implant dapat dilakukan langsung setelah pencabutan, yang disebut dengan direct implant.
Namun, jika pasien menunda, prosesnya akan memakan waktu lebih lama karena perlu menunggu jaringan pulih terlebih dahulu.
“Implan sangat penting untuk menjaga struktur tulang agar tidak turun dan mencegah gigi di sebelahnya bergeser,” tambah drg. Devya.

- Devya Dental Clinic
Meskipun demikian, Wulan memilih untuk melakukan pencabutan gigi terlebih dahulu dan menunda pemasangan implant. “Bertahap aja, aku takut hahaha,” ucap Wulan dengan candaan, yang disambut tawa oleh drg. Devya.
Proses pencabutan gigi berjalan lancar, dan Wulan pun merasa nyaman sepanjang prosedur.
“Gimana rasanya? Sakit nggak?” tanya drg. Devya. Wulan dengan lega menjawab, “Nggak. Lama juga nggak, ternyata cuma gitu doang, the best!” ucapnya sambil tersenyum puas.
Setelah prosedur, drg. Devya menjelaskan perawatan yang harus dilakukan untuk mencegah pendarahan dan mempercepat penyembuhan. Pasien disarankan untuk menggigit kapas selama 15 menit agar darah berhenti mengalir, menghindari makanan panas selama satu hari, dan tidak merokok.
“Yang paling penting, kita harus mencegah darah agar tidak mencair lagi. Jadi, mengompres dengan es atau meminum minuman dingin untuk meredakan peradangan sangat direkomendasikan karena dapat mempercepat pemulihan,” ujar drg. Devya.
Wulan juga diberikan resep obat antibiotik, obat anti nyeri, dan obat anti bengkak. “Minumnya harus sesuai aturan, ya. Kalau mulai terasa nggak nyaman, langsung diminum obat anti nyerinya. Jangan ditunda sampai sakit,” kata drg. Devya.
Ia juga mengingatkan pentingnya kontrol ulang setelah 10 hari untuk memastikan proses penyembuhan berjalan optimal.
Pengalaman Wulan Guritno ini menjadi pengingat betapa pentingnya menjaga kesehatan gigi dan mulut. Gigi berlubang yang dibiarkan terlalu lama bukan hanya menyebabkan bau tidak sedap, tetapi juga dapat memicu masalah serius jika tidak segera ditangani.
Load more