Gigi Goyang Adalah Salah Satu Masalah Kesehatan Gigi
- Istimewa

- Istimewa
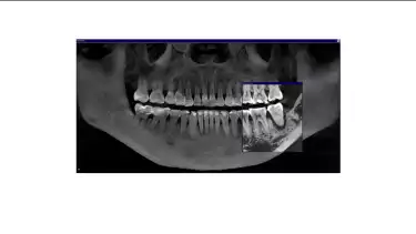
Sebaliknya, hasil rontgen pada gigi kiri menunjukkan kerusakan yang lebih signifikan. Tulang hampir tidak lagi melekat pada gigi, menyebabkan giginya lebih goyang dan sulit dipertahankan.
“Potensi pemulihan gigi sebelah kiri jauh lebih rendah, dan kemungkinan keberhasilannya lebih kecil. Namun, kami tetap berupaya mempertahankan gigi semampu mungkin,” tambah drg. Devya.
Untuk mengatasi masalah ini, drg. Devya dan drg. Ryan menyusun rencana perawatan yang mencakup scaling (pembersihan karang gigi), kuretase (curettage), PRP (Platelet-Rich Plasma), dan bone graft (autograft). Setiap langkah dirancang untuk menangani akar penyebab masalah sekaligus merangsang regenerasi jaringan yang rusak. Langkah pertama adalah scaling, proses pembersihan karang gigi yang menumpuk di sekitar gigi.
“Scaling diperlukan untuk menghilangkan karang gigi yang dapat memicu peradangan pada gusi dan kerusakan jaringan penyangga gigi,” jelas drg. Ryan.
Prosedur ini juga membantu mempersiapkan gigi untuk perawatan lanjutan dengan memastikan area yang dirawat benar-benar bersih dari sisa kotoran dan bakteri.
Tahap selanjutnya adalah kuretase, yang berfokus pada pembersihan mendalam hingga ke akar gigi.
“Kuretase bertujuan untuk mengangkat sisa bakteri dan plak yang menempel pada akar gigi, sehingga jaringan di sekitar gigi dapat sembuh dan pulih dengan lebih baik,” tambah drg. Ryan.
Awalnya, Marcella sempat merasa khawatir karena ia membayangkan kuretase gigi serupa dengan kuretase pada rahim, yang sering kali dianggap menyakitkan dan membutuhkan bius total.
“Aku sempat berpikir ini akan seperti operasi besar, bahkan membayangkan harus dibius total,” ungkap Marcella.
Namun, drg. Devya dan drg. Ryan segera menenangkannya dengan menjelaskan bahwa prosedur ini jauh lebih sederhana dan nyaman.
“Kami pastikan prosesnya aman dan tidak menyakitkan,” kata drg. Devya, memastikan kenyamanan Marcella selama perawatan.

- Istimewa
Load more