Bekas Luka Tendangan "Kungfu" Pemain Liga 4 PS Putra Jaya Hilman Gimnastiar
- Istimewa/VIVA
tvOnenews.com — Kompetisi Liga 4 kembali menjadi perhatian publik setelah insiden tendangan kungfu yang melibatkan pemain PS Putra Jaya Pasuruan Hilmi Gimnastiar, terhadap pemain Perseta 1970 Tulungagung Firman Nugraha.
Manajemen Perseta 1970 Tulungagung memastikan Firman mengalami cedera serius akibat insiden tersebut.
Berdasarkan hasil pemeriksaan medis, cedera yang dialami bukan sekadar benturan ringan, melainkan terdapat retakan pada tulang rusuk.

- tvOne - abdul rohim
Manajer Perseta 1970 Tulungagung Rudi Iswahyudi menjelaskan peristiwa itu terjadi saat Firman terlibat duel perebutan bola.
Dalam momen tersebut, Firman mendapat tendangan keras di bagian dada hingga terjatuh dan tak mampu melanjutkan permainan pada menit ke-72.
“Firman terkena tendangan keras di bagian dada. Setelah kejadian itu, kondisinya sempat kejang dan harus mendapatkan perawatan di ambulans,” ujar Rudi Selasa, 6 Januari 2026.
Insiden ini sempat memicu ketegangan di lapangan dan menimbulkan kekhawatiran dari jajaran pelatih serta ofisial Perseta.
Tim medis pun segera memberikan penanganan awal di sisi lapangan untuk menstabilkan kondisi pemain.
Usai pertandingan, Firman belum langsung dilarikan ke rumah sakit dan memilih menjalani pemulihan sementara bersama tim. Namun, beberapa jam kemudian kondisi fisiknya justru menunjukkan penurunan.

- tvOne - abdul rohim
Pada malam harinya, Firman mengeluhkan sesak napas kepada ofisial tim. Menyadari kondisi tersebut berisiko, manajemen Perseta langsung membawa sang pemain ke fasilitas kesehatan untuk menjalani pemeriksaan lanjutan.
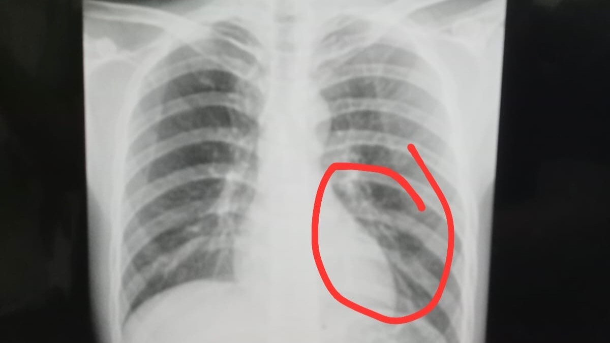
Hasil pemeriksaan rontgen menunjukkan adanya retakan pada tulang rusuk bagian bawah, yang menempatkan cedera Firman dalam kategori serius dan berpotensi berbahaya bila tidak ditangani secara optimal.
“Hasil pemeriksaan rontgen menunjukkan adanya retakan pada tulang rusuk bagian bawah. Kondisi ini masuk kategori cedera serius dan berisiko,” ungkap Rudi.
Berdasarkan temuan medis tersebut, manajemen Perseta memutuskan menghentikan seluruh aktivitas Firman. Klub memastikan sang pemain akan menjalani istirahat total hingga dinyatakan pulih sepenuhnya oleh tim medis.
Saat ini, Firman masih berada dalam pengawasan medis. Manajemen Perseta menegaskan tidak akan mengambil risiko apa pun terkait kondisi pemain, terlebih di tengah ketatnya persaingan Liga 4 Jawa Timur.
Load more